Table of Contents
Toggleأصبحت تقنية قص اللثة بالليزر من أبرز الحلول التجميلية في عالم تجميل الأسنان الحديث، حيث يقبل عليها الكثيرون ممن يعانون من مشاكل الابتسامة اللثوية أو عدم تناسق خط اللثة، وتتميز بالدقة العالية، وسرعة التعافي، والنتائج الجمالية المبهرة، سنتناول في هذا المقال مميزات وعيوب قص اللثة بالليزر، وكيف يتم إجراؤها، بالإضافة إلى الحالات التي تخضع لهذه العملية لنساعدك على اختيار القرار الأنسب لحالتك.
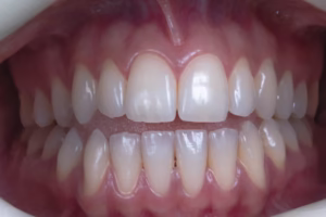
قص اللثة بالليزر
قص اللثة بالليزر هو إجراء تجميلي وطبي يهدف إلى تعديل شكل اللثة باستخدام تقنية الليزر، سواء لتقليل حجم اللثة الظاهرة عند الابتسامة، أو لعلاج حالات الالتهاب المزمن، وتُستخدم هذه التقنية للحصول على نتائج دقيقة وسريعة التعافي دون الحاجة إلى جراحة تقليدية، فقص اللثة بالليزر قبل وبعد يظهر فرقًا ملحوظًا في الابتسامة، حيث أن بعد القص تصبح الأسنان أكثر وضوحًا وتناسقًا؛ مما يضفي جمالًا طبيعيًا على الابتسامة.
فوائد قص اللثة بالليزر:
- يقلل الليزر من النزيف والتورم ويسرع من عملية الشفاء.
- القضاء على الجيوب الناتجة عن تراكم البلاك والجير.
- تسهيل تنظيف الأسنان؛ مما يساعد في الحفاظ على صحة اللثة والأسنان.
- يقلل خطر العدوى والنزيف بفضل الدقة العالية لتقنية الليزر.
- في بعض الحالات يُستخدم لعلاج مشاكل صحية كاللثة المتراجعة أو النسيج الزائد.
- إزالة الأنسجة التالفة لتحضير موقع زراعة الأسنان.
- علاج الابتسامة اللثوية وتحسين مظهر الابتسامة.
أسباب قص اللثة بالليزر
تتعدد الأسباب التي قد تدفع الأشخاص إلى الخضوع لهذا الإجراء، ومن أبرزها:
- الابتسامة اللثوية: عندما يظهر جزء كبير من اللثة أثناء الابتسام؛ مما يجعل الأسنان تبدو صغيرة وغير متناسقة، ويتم قص اللثة لتحسين مظهر الابتسامة وزيادة حجم الأسنان الظاهرة.
- التهابات اللثة: تستخدم تقنية الليزر أيضًا لعلاج بعض أنواع الالتهابات المزمنة في اللثة.
- تضخم اللثة: بسبب التهابات مزمنة أو تناول أدوية تسبب نمو أنسجة لثوية زائدة.
- التجميل: تعديل شكل اللثة لتناسق أكبر بين اللثة والأسنان.
- زيادة طول التاج السني: للكشف عن جزء أكبر من السن لأغراض علاجية أو تجميلية.
كيف تتم عملية قص اللثة؟
تتم عملية قص اللثة بالليزر داخل عيادة الأسنان دون الحاجة لتخدير عام، وتشمل الخطوات التالية:
- تقييم الحالة: يتم أولاً فحص الفم والأسنان وتحديد الشكل المثالي للثة.
- التخدير الموضعي: لتقليل الألم أو الشعور بالانزعاج أثناء الإجراء.
- استخدام جهاز الليزر: يتم توجيه شعاع الليزر بعناية على الأنسجة الزائدة أو المصابة للقيام بعملية القطع والتبخير بدون الحاجة لاستخدام الأدوات الجراحية التقليدية.
- الانتهاء والتعقيم: بعد الانتهاء من إزالة الأنسجة، يتم تنظيف المنطقة وتعقيمها لمنع العدوى.
- الرعاية بعد العملية: يقدم الطبيب تعليمات للعناية بالفم، وتخفيف الألم، ويتابع حالة الشفاء لضمان أفضل النتائج.
تعتبر تقنية قص اللثة بالليزر أقل ألمًا ونزفًا، وتستغرق وقتًا أقل لإتمامها مقارنة بالطرق القديمة، ويشعر المريض بعد العملية براحة نسبية مع سرعة تعافي الجروح، مع ضرورة الالتزام بتعليمات الطبيب للشفاء السليم.
لكن السؤال الذي يطرحه الكثيرون هو: قص اللثة بالليزر هل يؤلم؟ والحقيقة أن الألم يكون طفيفًا جدًا مقارنة بالجراحة التقليدية، ومع التخدير الموضعي والتقنيات الحديثة يعتبر الإجراء شبه غير مؤلم.
ما هي مخاطر جراحة قص اللثة بالليزر؟
أضرار قص اللثة غالبًا ما تكون نادرة ومؤقتة، ويتم تلافيها باتباع تعليمات الطبيب بدقة بعد العملية، إليك بعض المخاطر المحتملة التي يجب أخذها في الاعتبار:
- في حالات نادرة قد تعود الأنسجة للنمو، خاصةً إذا لم يعالج السبب الأساسي مثل سوء نظافة الفم أو طحن الأسنان.
- قد يشعر المريض ببعض الانزعاج أو الحساسية أثناء التعافي، ويمكن التعامل معها بمسكنات الألم والعناية الجيدة.
- تورم بسيط أو احمرار في اللثة.
- انكماش اللثة الزائد في بعض الحالات إذا لم يتم التنفيذ بدقة.
- احتمال بسيط لحدوث عدوى؛ ولذلك من الضروري اتباع تعليمات الطبيب واختيار عيادة ذات سمعة جيدة.
أنواع عمليات تجميل اللثة
تختلف عمليات تجميل اللثة تبعًا للحالة التي يعاني منها المريض، وتشمل:
علاج انحسار اللثة
يحدث عندما تتراجع أنسجة اللثة التي تحيط بالأسنان؛ مما يجعل الأسنان تبدو أطول من الطبيعي، ويمكن أن يكون هذا الانحسار علامة على مشاكل صحية مثل أمراض اللثة، تراكم الجير، التفريش العنيف، أو حتى ارتداء تقويم الأسنان لفترات طويلة.
تجميل اللثة البارزة
تزداد أنسجة اللثة عن الحد الطبيعي في هذه الحالة وتغطي جزءًا أكبر من الأسنان، وقد يحدث هذا بسبب بعض الأدوية أو أسباب وراثية أو بسبب أمراض معينة، ويُزال النسيج الزائد إما جراحيًا أو باستخدام الليزر، حيث يعتبر الليزر الخيار الأفضل طبيًا.
توريد اللثة
يختلف لون اللثة من شخص لآخر مثل لون البشرة، ويتراوح بين الوردي الفاتح والداكن بسبب صبغة الميلانين؛ ولذلك تُستخدم تقنية الليزر لتفتيح لون اللثة ومنحها مظهرًا ورديًا طبيعيًا يعزز جمال الابتسامة.
الابتسامة اللثوية
يتم إجراء قص اللثة بالليزر لعلاج الابتسامة اللثوية، وهي الحالة التي يظهر فيها جزء كبير من اللثة عند الابتسام، بحيث تبدو اللثة واسعة والأسنان قصيرة، ويعتمد ذلك على عوامل مختلفة مثل عضلات الوجه وشكل الشفاه وترتيب الأسنان، ولا تعتبر مشكلة صحية، بل جمالية فقط، ولا يحتاج علاجها إلا من يشعر بالحرج منها.
الحالات التي تخضع لعملية قص اللثة بالليزر
لا يُنصح بعملية قص اللثة بالليزر لكل الحالات، وإنما يتم اختيارها بناءً على التشخيص الدقيق، وتشمل الحالات:
- الأشخاص الذين يعانون من الابتسامة اللثوية.
- المرضى الذين لديهم أسنان قصيرة نسبيًا بسبب فرط نمو اللثة.
- المصابون بالالتهاب المزمن في اللثة مع تجمع للبكتيريا
- الحالات التي تستدعي تحسين مظهر الأسنان قبل التبييض أو تركيب القشور التجميلية.
- المرضى الذين يعاون من تضخم اللثة الناتج عن تناول أدوية معينة تسبب زيادة في أنسجة اللثة.
وفي الختام، تعتبر عملية قص اللثة بالليزر خيارًا فعالًا وآمنًا لتحسين مظهر الابتسامة وعلاج امراض اللثة ومشاكلها المختلفة، احرص على استشارة طبيب مختص لتقييم حالتك بشكل دقيق، ومعرفة ما إذا كان هذا الإجراء هو الأنسب لك.
تمتع بابتسامة مثالية مع تقنية قص اللثة بالليزر في مركز بيرفكت سمايل بدون ألم، ونتائج فورية تعكس جمالك الطبيعي، احجز موعدك الآن واستعيد ثقتك بنفسك من أول زيارة.
الأسئلة الشائعة
متى تلتئم اللثة بعد قصها بالليزر؟
عادةً ما تلتئم اللثة خلال 7 إلى 10 أيام بعد العملية، ويلاحظ معظم المرضى تحسنًا سريعًا في أول 3 أيام.
متى تظهر نتائج عملية قص اللثة بالليزر؟
النتائج تكون فورية تقريبًا، حيث يمكن رؤية التحسن مباشرة بعد الانتهاء من العملية، وتستقر النتيجة النهائية خلال أسبوعين.
هل عملية قص اللثة بالليزر مؤلمة؟
لا، فهي تتم تحت تخدير موضعي وخالية من الألم تقريبًا، كما أن الليزر يقلل من التورم والنزيف بشكل كبير.
 
 
 
 

